
Children between the ages of 8 and 12 show various new and exciting developmental milestones. If your child falls in this age group, you may notice a rapid growth in their height and weight. Along with physical attributes come newfound interests and abilities. This stage is ideal to help your child build confidence and personality.
Imagine doing everything to support your child’s success, only for their crooked teeth to hinder their personal growth and self-esteem.
Fortunately, an early orthodontic treatment can save your child from such challenges and prevent them from falling into the cycle of self-consciousness and low self-esteem. Orthodontic treatment is a dental procedure that corrects the position and alignment of your teeth and jaw, improving oral functions, facial appearance and symmetry.
The thought of orthodontic treatment can be daunting for both parent and child. Thus, in this article, I’ll walk you through various aspects of orthodontic treatment in children aged 8 to 12. This guide is packed with all the essential information you need before starting the treatment journey. All the best!
Signs Your Child May Need Orthodontic Attention
Like any other health issue, dental problems also have warning signs. If your child is showing any of the following signs, it may be the time to visit a dentist:
- Early or late loss of baby teeth
- Difficulty chewing or biting
- Mouth breathing or speech difficulties
- Thumb-sucking habit beyond 5 years of age
- Tongue thrusting or pushing habit
- Protruding teeth
- Visible misalignment or crowding of teeth
- Abnormal size of upper or lower jaw
- Asymmetric jaws
- Teeth grinding or clenching
Benefits of Early Orthodontic Intervention
An early orthodontic intervention not only boosts your child’s confidence and enhances appearance but also improves overall health. It helps in guiding proper jaw growth, reducing the risk of trauma to protruding front teeth, and minimizing the need for more extensive treatment later.
The upper and lower jaw grow at different rates. The growth of the upper jaw (maxilla) typically peaks around 10–11 years, while the lower jaw (mandible) growth peaks around 12–14 years.13 These peak growth periods can be utilized to remodel the bone and correct anomalies with an early visit to an orthodontist. The orthodontic issues treated during this period require less duration and exhibit more stable results.
Hence, treating malocclusion (misaligned bite) early is more convenient and hassle-free.

Dental Care for Children
Understanding Orthodontic Treatment
The term ‘orthodontics’ comes from the Greek word ‘orthos’ meaning straight or correct and ‘odont’ meaning tooth. This specialized branch of dentistry is dedicated to preventing, intercepting and correcting misaligned teeth or jaw or both.
The Science Behind Age
Human dentition is of 3 types:
- Primary dentition: Also called baby or milk teeth, it consists of 20 teeth (10 in the upper arch and 10 in the lower arch) and is typically seen in children aged 6 months to 3 years.
Orthodontic treatment is usually not performed in this period. However, abnormal habits such as thumb sucking, biting and improper lip closure should be corrected after the child reaches 3.5 years of age.2
- Mixed dentition: As the name suggests, this stage includes both—baby and permanent teeth. It begins with the eruption of the first molar at around 6 years of age and ends with the shedding of the last baby tooth, typically around 12 years.
The American Association of Orthodontists recommends your child’s first orthodontic visit by the age of 7 years.3
- Permanent dentition: Permanent dentition emerges during the early teenage years. It comprises 32 teeth.
Ideal Age Range
When it comes to orthodontic treatment, timing is key. However, the ideal age range for orthodontic treatment is a contentious issue.1 The type of malocclusion determines the time of intervention.
Most studies suggest the ideal time to initiate orthodontic treatment is during the early mixed dentition period when your child’s mouth contains both baby and adult teeth. Hence, an orthodontist visit when your child turns 7 can help address and correct the dental issue early.
Orthodontic Treatment Phases
On the first orthodontist appointment, the orthodontist will visually examine your child’s teeth and take x-rays and impressions. Depending on the state of their teeth, jaw alignment and functionality issues, the orthodontist will create a treatment plan. The treatment can be started immediately (Phase One) or delayed for a few years (Phase Two).
Phase One (Early Treatment)
It is initiated between the ages of 7 and 10. This early intervention helps address relevant issues while taking advantage of continuous jaw growth during this period. It focuses on the unhindered eruption of permanent teeth.
If your dentist notices a jaw mismatch, abnormal jaw size, narrow and constricted jaw, or an impacted tooth in your child’s mouth, they may start treatment right away. Depending on the situation, this may include using braces or other fixed or removable appliances.
Phase Two (Comprehensive Treatment)
It typically begins around age 11 or older, when almost all permanent teeth are erupted, to finalize tooth and jaw alignment. By this period, jaw growth is nearly complete, allowing the focus to shift to aligning permanent teeth and improving the bite.
While Phase One may not be required in all cases, Phase Two applies to all patients with the goal of a beautiful and functional smile.
Types of Orthodontic Appliances
The world of orthodontics offers a wide range of appliances. Appliance selection is based on several factors such as the patient’s age, growth, compliance, preference, comfort, and specific jaw and dental condition.
Fixed Appliances
It is the traditional method of orthodontic treatment which employs wires and brackets. Once fixed, it cannot be removed by the patient. The brackets can be made of metal, ceramic, or plastic.
Metal brackets are made of stainless steel and are noticeable. However, ceramic brackets are tooth-colored and less noticeable.

Removable Appliances
These appliances can be applied and removed by the patient. The success of removable orthodontic therapy relies on patient compliance and cooperation.

Aligners
Aligners are clear, custom-made, removable trays which fit the teeth snugly. They are esthetic and comfortable.14 However, they can be used for mild to moderate corrections only.

Retainers
Our teeth tend to relapse, meaning they move back to their original position after some time if not retained in their new position. Thus, after the treatment is over, make sure your kid wears retainers to maintain alignment and prevent teeth from relapsing.
Common Orthodontic Issues in 8-12 Year Olds
Crowding
Crowding refers to irregularly placed teeth due to a lack of space. It is often seen as crooked, twisted teeth mostly in the front region of the mouth due to discrepancies in tooth and jaw size.4

It can be seen due to the following reasons:
- A jaw size smaller than normal
- Teeth size larger than normal
- Extra teeth
Problems that may occur due to crowding:
- Poor mouth cleanliness
- Difficulty brushing and flossing teeth
- Food lodgement
- Dental caries
- Gum swelling and infection
Orthodontic Treatment:
The treatment varies from case to case:
- If the jaw is small and constricted, the treatment focuses on the expansion of the jaw using Rapid Maxillary Expansion (RME) appliance, Slow Maxillary Expansion (SME) appliance, or mandibular expander appliances.5,6
- If the teeth are large in size, your dentist may want to trim the sides of a few teeth within acceptable boundaries (a process called proximal stripping) and then align them using braces.
- If extra teeth are present or crowding is severe, it may be necessary to remove a few teeth such as first or second premolars.
Overbite and Underbite
The contact between the upper and lower teeth is called occlusion, which is classified as:7
- Class I occlusion: Normal or ideal occlusion
- Class II occlusion: Overbite
- Class III occlusion: Underbite
In normal cases, the upper front teeth slightly overlap the lower front teeth vertically. However, in some cases, there can be too much overlap or little to no overlap at all, which are called overbite and underbite, respectively.


It can be seen due to:
- Forwardly placed upper or lower jaw
- Backwardly placed upper or lower jaw
- Short facial vertical height
- Hereditary
- Bad habits such as prolonged thumb sucking, tongue thrusting and use of pacifiers
Problems that may occur due to overbite and underbite:
- Discomfort and chronic tension in the neck and shoulders
- Strain cervical spine and lower back due to abnormal head posture
- Painful and imbalance facial and jaw muscles due to stress on the Temporomandibular Joint (TMJ)7
Orthodontic Treatment:
- In cases of overbite, the lower jaw is usually placed backwards or smaller in size. Hence, the treatment goal is to restore it to normal size and position using appliances such as mandibular advancement devices or headgear.
- In underbite cases, the upper jaw may be underdeveloped in size or placed backwards. Hence, the treatment goal is to bring it to normal size and position with appliances such as reverse-pull headgear.
- If the jaw size cannot be accommodated by orthodontic intervention, jaw surgery (orthognathic surgery) may be required to align it to its normal position.7
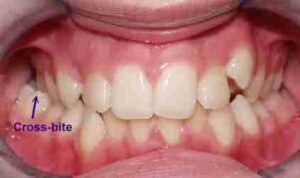
Crossbite
If you look into a mirror while retracting your cheek with a finger, you will notice that your lower teeth are placed slightly towards the inner side horizontally than your upper teeth. When this horizontal bite is reversed, that is, one or more upper teeth fit inside the lower teeth, it is called a crossbite.
It can be seen in the front (anterior) or back (posterior) teeth.
Crossbite-Image Courtesy Embedded
It can be seen due to:
- Narrow or asymmetric palate
- Crowded teeth
- Lack of space
- Bad oral habits such as mouth breathing and thumb-sucking
- Hereditary influence
- Cleft lip and palate8
Problems that may occur due to crossbite:
- Unaesthetic dental appearance
- Loss of tissue at the gumline exposing the root
- Gum swelling and infection
- Tooth decay
- Tooth wear
- Tooth fracture
- Loosening of tooth
- Loss of enamel giving rise to sensitivity on consumption of hot or cold food items9
Orthodontic Treatment:
While some dental conditions such as a gap in front teeth (midline diastema) resolve on their own, crossbite is not self-correcting in nature and needs immediate intervention.
Many appliances can be used for correcting anterior or posterior crossbite, such as:
- Tongue blade
- Catalan’s appliance
- Bite planes
- Maxillary or mandibular expansion appliances
- Fixed orthodontic appliance8,9
Open Bite
If you notice a space between the upper and lower front teeth when your child’s mouth is closed, you might be looking at an open bite.

(insert image 9 Open Bite)
It can be seen due to:
- Thumb and finger sucking or pacifier use
- Tongue thrusting
- Mouth breathing or airway obstruction
- Abnormal bone growth10
- Hereditary factors11
Problems that may occur due to open bite:
- Difficulty biting and chewing food
- Difficulty pronouncing bilabial letters such as m,p, and b
- Inability to close lips
- Unaesthetic facial appearance
- Constantly exposed gum to the environment leading to inflammation
Orthodontic Treatment:
Many open bites self-correct.10 But in severe cases, orthodontic intervention is necessary. The options vary according to the condition:
- Treatment of underlying conditions such as mouth breathing with habit-breaking appliances
- Orthopaedic appliances
- Myofunctional appliances
- Jaw (orthognathic) surgery12
Caring for Your Child’s Orthodontic Appliances
Proper care of your child’s orthodontic appliances can yield favourable treatment and outcomes. Here are some tips and instructions to consider during your child’s orthodontic treatment:
Maintaining oral hygiene
- Clean braces and aligners with a soft-bristled brush after every meal to avoid plaque build-up and tooth decay.
- Use interdental brushes for hard-to-reach areas.15
Dietary recommendations
- Avoid hard and sticky food to prevent damaging the braces.
- Avoid fizzy and sugary drinks to prevent enamel loss at the site where braces are bonded to the tooth.
Handling discomfort and knowing when to contact the orthodontist
- Experiencing a little pain and discomfort during an orthodontic treatment is normal. However, if your child complains of excruciating pain, contact the orthodontist and visit the clinic as soon as possible.
- In case of breakage or loosening of any part of the appliance, visit your orthodontist for repair or replacement.
Summary
Orthodontic treatment for children between the ages of 8 and 12 is a critical period due to mixed dentition and rapid physical growth. With early intervention, this growth period can be utilized to remodel the bone and correctly align the teeth and jaw. Hence, the American Association of Orthodontists recommends your child’s first orthodontic visit by the age of 7 years. Early orthodontic intervention can prevent the development of severe dental problems and reduce future treatment complexities by addressing issues early. Anomalies typically seen in this age are crowding, overbite, underbite, crossbite, and open bite. Treatment modalities include fixed appliance therapy, removable appliance therapy, aligners and more. By understanding these aspects, parents can make informed decisions about their child’s orthodontic care during this crucial developmental stage.
#orthodontics #braces #dentistry #dentalcare #oralhealth #cosmeticdentistry#clearbraces#aligners#orthodontictreatment
References
- Nur Yilmaz R, Oktay I, Ilhan D, Fişekçioğlu E, Özdemir F. Normative and subjective need for orthodontic treatment within different age groups in a population in Turkey. Niger J Clin Pract [Internet]. 2017 [cited 2025 Feb 21];20(12):1632. Available from: https://journals.lww.com/10.4103/1119-3077.224126
- Zhou C, Duan P, He H, Song J, Hu M, Liu Y, et al. Expert consensus on pediatric orthodontic therapies of malocclusions in children. Int J Oral Sci [Internet]. 2024 Apr 16 [cited 2025 Feb 21];16:32. Available from: https://www.ncbi.nlm.nih.gov/pmc/articles/PMC11021504/
- baum alan. American Association of Orthodontists. 2024 [cited 2025 Feb 22]. Your guide to two-phase orthodontic treatment. Available from: https://aaoinfo.org/whats-trending/6-facts-about-two-phase-treatment/
- Das PJ, Dkhar W, Pradhan A. An evaluation of dental crowding in relation to the mesiodistal crown widths and arch dimensions in southern indian population. J Clin Diagn Res [Internet]. 2017 Sep [cited 2025 Feb 22];11(9):TC10–3. Available from: https://www.ncbi.nlm.nih.gov/pmc/articles/PMC5713826/
- Hussain MA, Konda P, Magi* A. Growth modulation with maxillary expansion appliances-A review. IP Indian Journal of Orthodontics and Dentofacial Research [Internet]. [cited 2025 Feb 22];10(4):225–31. Available from: https://www.ijodr.com/article-details/23330
- Mahendra TVD, Mulakala V, Anoosha M. Mandibular expansion appliances and their activation protocols. Taiwanese Journal of Orthodontics [Internet]. 2022 Sep 8 [cited 2025 Feb 22];34(3). Available from: https://www.tjo.org.tw/tjo/vol34/iss3/3
- Albert C, Haddad C, Lungu II, Costescu E, Apintiliesei A, Bahrim DC, et al. Different bite classes and their influence on body posture: a review. RJOR [Internet]. 2024 Dec 20 [cited 2025 Feb 22];16(4):236–45. Available from: https://rjor.ro/different-bite-classes-and-their-influence-on-body-posture-a-review/
- Brizuela M, Palla A, N DK. Posterior crossbite. In: StatPearls [Internet]. Treasure Island (FL): StatPearls Publishing; 2025 [cited 2025 Feb 22]. Available from: http://www.ncbi.nlm.nih.gov/books/NBK499873/
- Kumar N, Kumari R. Anterior Crossbite Correction in Mixed Dentition Using a Simple Appliance: A Case Series. J Res Dent Maxillofac Sci [Internet]. 2024;9(2):124–8. Available from: https://jrdms.dentaliau.ac.ir/article-1-551-en.pdf
- Ngan P, W. Fields H. Open bite: a review of etiology and management. American Academy of Pediatric Dentistry [Internet]. 1997;19(2). Available from: https://www.aapd.org/globalassets/media/publications/archives/ngan-19-02.pdf
- Lone IM, Zohud O, Midlej K, Paddenberg E, Krohn S, Kirschneck C, et al. Anterior open bite malocclusion: from clinical treatment strategies towards the dissection of the genetic bases of the disease using human and collaborative cross mice cohorts. J Pers Med [Internet]. 2023 Nov 17 [cited 2025 Feb 22];13(11):1617. Available from: https://www.ncbi.nlm.nih.gov/pmc/articles/PMC10672619/
- Munjal A, Ali A, Abraham SA, Jini B. A review on open bite. IP Indian Journal of Orthodontics and Dentofacial Research [Internet]. [cited 2025 Feb 22];7(4):277–85. Available from: https://www.ijodr.com/article-details/15704
- Keitoku M, Yonemitsu I, Ikeda Y, Tang H, Ono T. Differential recovery patterns of the maxilla and mandible after eliminating nasal obstruction in growing rats. J Clin Med [Internet]. 2022 Dec 11 [cited 2025 Feb 22];11(24):7359. Available from: https://www.ncbi.nlm.nih.gov/pmc/articles/PMC9783669/
- Tamer İ, Öztaş E, Marşan G. Orthodontic treatment with clear aligners and the scientific reality behind their marketing: a literature review. Turk J Orthod [Internet]. 2019 Dec 1 [cited 2025 Feb 23];32(4):241–6. Available from: https://www.ncbi.nlm.nih.gov/pmc/articles/PMC7018497/
- Goh HH, Doubleday B. Aids for mechanical cleaning of teeth with fixed braces. Cochrane Database Syst Rev [Internet]. 2018 Jan 22 [cited 2025 Feb 23];2018(1):CD012931. Available from: https://www.ncbi.nlm.nih.gov/pmc/articles/PMC6491070/
Image Courtesy
The post uses all third-party images to make it reader-friendly. The author never claims ownership of any of them. Image courtesy is given to every image used in the story. Prime Avenue, a professional content writing agency, is dedicated to providing readers with the latest updates and information through quality content.
About the Author
Dr Sobia Siddiquie is a passionate Dentist by profession, but she also likes writing. She specializes in medical writing and uses her extensive knowledge and experience in the medical and healthcare domain to help readers learn more about and improve oral health.
She also writes in the lifestyle segment. You can learn more about her work on her LinkedIn profile: https://www.linkedin.com/in/dr-sobia-siddiquie-749586286/.
You can connect with her at theprimeavenue@gmail.com
